ADAE dental blogs

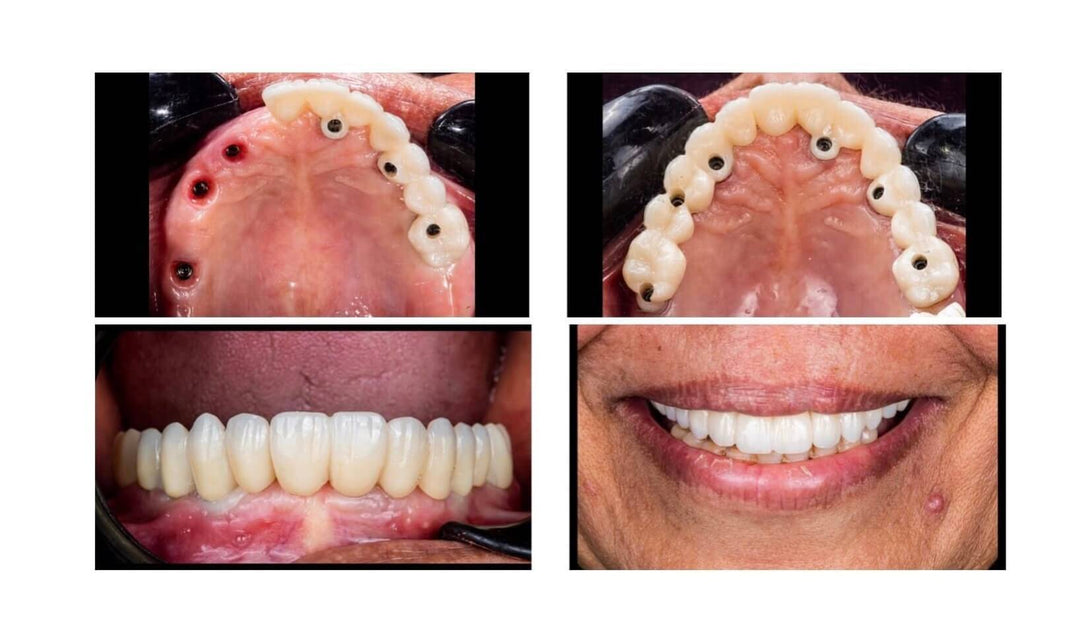
FACIALLY DRIVEN IMPLANT IN THE AESTHETIC ZONE
The utilization of facial scanners has gained traction in the digital dental workflow in recent years. This technology employs advanced scanning techniques to digitally capture and construct a detailed 3D facial model. In a recent case study provided by Dr....
Continue reading
DIGITAL SOLUTIONS FOR IMPLANT DENTISTRY
Digital dentistry has revolutionized our profession, enabling clinicians to provide faster, better and more affordable high-end dentistry. In fact, if you are doing implants without taking advantage of today’s digital technology, you’re missing out on the ability to improve your...
Continue reading
CRETEMP: DESIGN AN ACCURATE CROWN IN MINUTES
As a manufacturer, SHINING 3D not only provides individual devices such as intraoral scanners and printers but also focuses on the usage of the captured data. By offering the software CreTemp as a bridge to connect different devices, SHINING 3D provides a...
Continue reading
IMPLANT RESTORATIONS IN TEETH POSTERIOR AREA
The intraoral scanner has replaced physical impressions in the oral industry in recent years, making it more accurate for dentists and more convenient for patients. The Aoralscan 3, introduced in 2021 by SHINING 3D, has been widely installed worldwide, changing daily...
Continue reading